Guía de selección de casos para alineadores en sillón dental

Hemos desarrollado esta guía para ayudar a los consultorios a identificar casos de alineadores rentables y predecibles y luego estimar la duración del tratamiento. Llamamos a esta guía nuestros Alineadores Transparentes - "Regla de 3." 

Para usar esta guía, revise los objetivos de tratamiento que aparecen a continuación y registre cuántos aplican a su caso potencial y en qué posición se encuentran en nuestra escala de predictibilidad. 

  • Consejo profesional: Mida los espacios totales o el apiñamiento con una sonda periodontal. 

Objetivos del tratamiento 

Desviación de la línea media - Total (Máx. de 1.5 mm de desplazamiento por arco)

Se requerirá reducción interproximal (IPR) y un resalte (overjet) suficiente para desplazar las líneas medias 

Reducción del resalte (overjet) - Ambos arcos 

Se necesitará reducción interproximal (IPR) en el arco maxilar (superior) para reducir el resalte (overjet) 

Sobremordida - Ambos arcos 

Reducción de mordida abierta - Ambos arcos 

Para mordidas abiertas anteriores, solo se puede lograr un cierre de 1-2 mm con alta predictibilidad.

Espaciamiento anterior - Por arco 

Apiñamiento anterior - Por arco 

Mordida cruzada - Por diente

Estimación de la duración del tratamiento  

Ahora que ha recopilado la información requerida sobre su caso, utilice las siguientes guías para estimar la duración del tratamiento. 

  • Los casos que presenten 3 o menos objetivos de tratamiento que se muestran a continuación pueden completarse en aproximadamente 6-8 meses.   ¡Siempre dé un rango! 
  • Los casos con 4 o más objetivos de tratamiento que figuran a continuación, O espaciamiento/apiñamiento anterior moderado de hasta 6 mm, pueden tratarse en aproximadamente 12-14 meses.

Contraindicaciones

A continuación describimos las contraindicaciones a tener en cuenta para los casos de Alineadores Transparentes impulsados por Dandy. 

No casos de Clase III

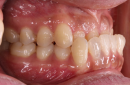
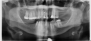
Dentición mutilada 

La falta de soporte posterior y de unidades de anclaje apropiadas, la pérdida de dimensión vertical, la presencia de prótesis fijas o removibles, la intervención endodóntica y la condición periodontal comprometida, todo ello contribuye a la complejidad. Para mover los dientes anteriores debe existir dentición posterior estable que pueda usarse como anclaje. Puentes múltiples, restauraciones o dientes ausentes contribuyen a una reducción del anclaje y, por tanto, a un resultado menos predecible. 

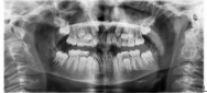
Dientes impactados

Los dientes impactados pueden provocar reabsorción radicular, requerir intervención quirúrgica para exponerlos y alinearlos en el arco, o extracción con una oclusión final comprometida. 

Dentición de transición 

Los niños y adolescentes en dentición de transición requieren consideración especial del momento de erupción y del crecimiento facial. La falta de anclaje posterior durante la transición, dientes anteriores o posteriores en erupción, erupciones ectópicas y quistes de erupción contribuyen a la complejidad. 

Dientes ectópicos

Estos dientes requieren auxiliares especiales, extracciones y condiciones periodontales adecuadas para poder manejarlos correctamente.

¿Fue útil este artículo?
Usuarios a los que les pareció útil: 5 de 7
Live Support Hours
Monday - Friday: 8 am - 9pm ET Saturday: 9 am - 4 pm ET
Chat With Us
By clicking here and logging into your account on the Dandy Portal.
Call Us
At (866)310-8665 or tap here to call us on your mobile phone.